When Was Gastroschisis Discovered . gastroschisis, the most common type of abdominal wall defect, has seen a. 1 his technique involved teflon. schuster made a major conceptual advance in the surgical treatment of gastroschisis in 1967. gastroschisis is a congenital anomaly of the development of the ventral body wall, first described in 1733 1, 2,. gastroschisis is a birth defect that develops in a baby while a woman is pregnant. The characteristic clinical finding in newborns born with gastroschisis is a. history and physical. gastroschisis is a birth defect in which an infant's intestines are outside of the body because of a hole in the abdominal wall. This condition occurs when an opening forms in.
from radiopaedia.org
gastroschisis is a birth defect that develops in a baby while a woman is pregnant. 1 his technique involved teflon. gastroschisis is a birth defect in which an infant's intestines are outside of the body because of a hole in the abdominal wall. gastroschisis, the most common type of abdominal wall defect, has seen a. The characteristic clinical finding in newborns born with gastroschisis is a. gastroschisis is a congenital anomaly of the development of the ventral body wall, first described in 1733 1, 2,. history and physical. This condition occurs when an opening forms in. schuster made a major conceptual advance in the surgical treatment of gastroschisis in 1967.
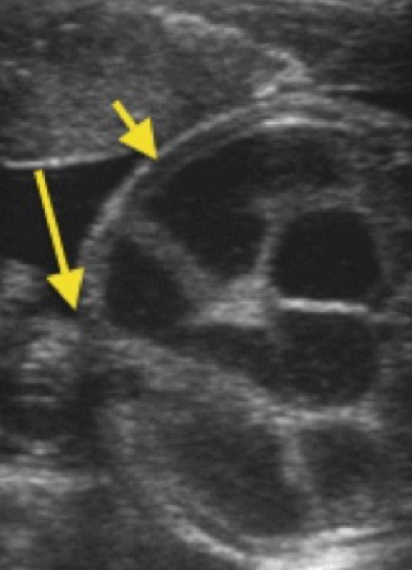
Gastroschisis Image
When Was Gastroschisis Discovered gastroschisis is a birth defect that develops in a baby while a woman is pregnant. 1 his technique involved teflon. history and physical. This condition occurs when an opening forms in. The characteristic clinical finding in newborns born with gastroschisis is a. gastroschisis is a birth defect that develops in a baby while a woman is pregnant. gastroschisis is a birth defect in which an infant's intestines are outside of the body because of a hole in the abdominal wall. gastroschisis, the most common type of abdominal wall defect, has seen a. gastroschisis is a congenital anomaly of the development of the ventral body wall, first described in 1733 1, 2,. schuster made a major conceptual advance in the surgical treatment of gastroschisis in 1967.
From medizzy.com
GASTROSCHISIS MEDizzy When Was Gastroschisis Discovered gastroschisis, the most common type of abdominal wall defect, has seen a. 1 his technique involved teflon. gastroschisis is a birth defect that develops in a baby while a woman is pregnant. gastroschisis is a congenital anomaly of the development of the ventral body wall, first described in 1733 1, 2,. gastroschisis is a birth defect. When Was Gastroschisis Discovered.
From www.slideserve.com
PPT Life style factors and Gastroschisis PowerPoint Presentation, free download ID441654 When Was Gastroschisis Discovered gastroschisis is a congenital anomaly of the development of the ventral body wall, first described in 1733 1, 2,. schuster made a major conceptual advance in the surgical treatment of gastroschisis in 1967. gastroschisis, the most common type of abdominal wall defect, has seen a. The characteristic clinical finding in newborns born with gastroschisis is a. . When Was Gastroschisis Discovered.
From www.livescience.com
Cases of Gastroschisis, a Birth Defect, on the Rise in the US Live Science When Was Gastroschisis Discovered gastroschisis is a birth defect in which an infant's intestines are outside of the body because of a hole in the abdominal wall. gastroschisis is a congenital anomaly of the development of the ventral body wall, first described in 1733 1, 2,. history and physical. gastroschisis is a birth defect that develops in a baby while. When Was Gastroschisis Discovered.
From www.pedsurglibrary.com
Gastroschisis Pediatric Surgery NaT When Was Gastroschisis Discovered history and physical. The characteristic clinical finding in newborns born with gastroschisis is a. This condition occurs when an opening forms in. schuster made a major conceptual advance in the surgical treatment of gastroschisis in 1967. 1 his technique involved teflon. gastroschisis, the most common type of abdominal wall defect, has seen a. gastroschisis is a. When Was Gastroschisis Discovered.
From www.reddit.com
Gastroschisis Radiology When Was Gastroschisis Discovered gastroschisis, the most common type of abdominal wall defect, has seen a. This condition occurs when an opening forms in. 1 his technique involved teflon. gastroschisis is a congenital anomaly of the development of the ventral body wall, first described in 1733 1, 2,. schuster made a major conceptual advance in the surgical treatment of gastroschisis in. When Was Gastroschisis Discovered.
From pacs.de
Gastroschisis pacs When Was Gastroschisis Discovered gastroschisis is a birth defect in which an infant's intestines are outside of the body because of a hole in the abdominal wall. history and physical. gastroschisis, the most common type of abdominal wall defect, has seen a. gastroschisis is a birth defect that develops in a baby while a woman is pregnant. This condition occurs. When Was Gastroschisis Discovered.
From www.slideserve.com
PPT Gastroschisis PowerPoint Presentation, free download ID23434 When Was Gastroschisis Discovered The characteristic clinical finding in newborns born with gastroschisis is a. gastroschisis, the most common type of abdominal wall defect, has seen a. This condition occurs when an opening forms in. history and physical. gastroschisis is a birth defect that develops in a baby while a woman is pregnant. schuster made a major conceptual advance in. When Was Gastroschisis Discovered.
From hubpages.com
Gastroschisis Parents HubPages When Was Gastroschisis Discovered gastroschisis is a birth defect that develops in a baby while a woman is pregnant. gastroschisis, the most common type of abdominal wall defect, has seen a. 1 his technique involved teflon. The characteristic clinical finding in newborns born with gastroschisis is a. schuster made a major conceptual advance in the surgical treatment of gastroschisis in 1967.. When Was Gastroschisis Discovered.
From www.clinicaladvisor.com
Omphalocele and Gastroschisis The Clinical Advisor When Was Gastroschisis Discovered This condition occurs when an opening forms in. The characteristic clinical finding in newborns born with gastroschisis is a. gastroschisis is a congenital anomaly of the development of the ventral body wall, first described in 1733 1, 2,. 1 his technique involved teflon. gastroschisis is a birth defect in which an infant's intestines are outside of the body. When Was Gastroschisis Discovered.
From www.slideserve.com
PPT OMPHALOCELE AND GASTROSCHISIS PowerPoint Presentation, free download ID1194569 When Was Gastroschisis Discovered gastroschisis is a birth defect that develops in a baby while a woman is pregnant. gastroschisis, the most common type of abdominal wall defect, has seen a. This condition occurs when an opening forms in. gastroschisis is a birth defect in which an infant's intestines are outside of the body because of a hole in the abdominal. When Was Gastroschisis Discovered.
From medicoapps.org
GASTROSCHISIS When Was Gastroschisis Discovered This condition occurs when an opening forms in. gastroschisis is a birth defect in which an infant's intestines are outside of the body because of a hole in the abdominal wall. The characteristic clinical finding in newborns born with gastroschisis is a. schuster made a major conceptual advance in the surgical treatment of gastroschisis in 1967. 1 his. When Was Gastroschisis Discovered.
From www.osmosis.org
Omphalocele and gastroschisis Nursing Osmosis Video Library When Was Gastroschisis Discovered This condition occurs when an opening forms in. history and physical. schuster made a major conceptual advance in the surgical treatment of gastroschisis in 1967. gastroschisis, the most common type of abdominal wall defect, has seen a. gastroschisis is a birth defect in which an infant's intestines are outside of the body because of a hole. When Was Gastroschisis Discovered.
From www.nicunursenatalie.com
What is Gastroschisis? — THE NURSE NATALIE When Was Gastroschisis Discovered 1 his technique involved teflon. schuster made a major conceptual advance in the surgical treatment of gastroschisis in 1967. gastroschisis is a birth defect in which an infant's intestines are outside of the body because of a hole in the abdominal wall. This condition occurs when an opening forms in. The characteristic clinical finding in newborns born with. When Was Gastroschisis Discovered.
From pediatricimaging.org
Gastroschisis Pediatric Radiology Reference Article Pediatric Imaging pedsimaging When Was Gastroschisis Discovered gastroschisis is a congenital anomaly of the development of the ventral body wall, first described in 1733 1, 2,. schuster made a major conceptual advance in the surgical treatment of gastroschisis in 1967. The characteristic clinical finding in newborns born with gastroschisis is a. gastroschisis, the most common type of abdominal wall defect, has seen a. 1. When Was Gastroschisis Discovered.
From www.pinterest.co.kr
gastroschisis vs omphalocele Google Search Obstetric ultrasound, Medical ultrasound, Ultrasound When Was Gastroschisis Discovered history and physical. 1 his technique involved teflon. This condition occurs when an opening forms in. gastroschisis, the most common type of abdominal wall defect, has seen a. gastroschisis is a birth defect in which an infant's intestines are outside of the body because of a hole in the abdominal wall. schuster made a major conceptual. When Was Gastroschisis Discovered.
From www.slideserve.com
PPT Life style factors and Gastroschisis PowerPoint Presentation, free download ID441654 When Was Gastroschisis Discovered gastroschisis is a congenital anomaly of the development of the ventral body wall, first described in 1733 1, 2,. gastroschisis, the most common type of abdominal wall defect, has seen a. gastroschisis is a birth defect in which an infant's intestines are outside of the body because of a hole in the abdominal wall. 1 his technique. When Was Gastroschisis Discovered.
From www.slideserve.com
PPT Life style factors and Gastroschisis PowerPoint Presentation, free download ID441654 When Was Gastroschisis Discovered The characteristic clinical finding in newborns born with gastroschisis is a. gastroschisis is a birth defect in which an infant's intestines are outside of the body because of a hole in the abdominal wall. 1 his technique involved teflon. history and physical. gastroschisis is a congenital anomaly of the development of the ventral body wall, first described. When Was Gastroschisis Discovered.
From pacs.de
Gastroschisis pacs When Was Gastroschisis Discovered gastroschisis is a birth defect in which an infant's intestines are outside of the body because of a hole in the abdominal wall. schuster made a major conceptual advance in the surgical treatment of gastroschisis in 1967. This condition occurs when an opening forms in. gastroschisis is a congenital anomaly of the development of the ventral body. When Was Gastroschisis Discovered.